26 May 2021

The rise of a rare COVID-19 complication known as “black fungus” adds to India’s misery in the pandemic

Benjamin Mateus


Earlier this month, as the coronavirus was rampaging through India’s populous cities and rural communities, medical professionals in hospitals began warning of an alarming epidemic of deadly fungal infections— Mucormycosis (a disease caused by saprophytic fungi that gets its nourishment from dead or decaying organic material) and given the title “black fungus.”

Many of those afflicted with this rare condition are patients who have developed or had recently recovered from COVID-19.

An Indian doctor examines a man for the symptoms of mucormycosis at a government hospital in Mumbai on May 25, 2021. (AP Photo/Rafiq Maqbool)

According to the Times of India, 5,500 people across the country have developed this deadly infection, with 126 of them losing their lives. In Maharashtra alone, the second most populous state in India, 2,000 cases have been reported, with 800 hospitalized and 90 dead.

A day after the state of Rajasthan declared “black fungus” an epidemic, many other states have fallen in line, proclaiming it a “notifiable disease” under the Epidemic Disease Act, making it mandatory to report the cases to the state government. On May 14, the Ministry of Health and Family Welfare issued a statement titled “Stay Safe from Mucormycosis: a fungal complication being detected in COVID-19 patients,” asking people to control their diabetes and not use pharmaceuticals without medical supervision.

With health facilities inundated with patients, families caring for their loved ones are turning to purchasing medicines to treat them. The overuse of medications has become a growing concern, as noted by Ramanan Laxminarayan, director of the Center for Disease Dynamics, Economics & Policy in New Delhi. He told Bloomberg, “The damaging effect of this irrational use of medicines is potentially as high as that of the virus itself.”

Aside from the hot and humid climate conditions that allow the fungi to thrive, risk factors for patients include diabetes mellitus, leading to high blood sugars. Treatment with cheap steroids, which is the mainstay for managing COVID, inevitably impairs the glucose metabolism, causing blood sugar levels to rise exceedingly high while also suppressing the immune system’s ability to respond to infections.

India has one of the highest rates of diabetes in the world, affecting 77 million people. According to the International Diabetes Federation (IDF), 463 million people worldwide have diabetes. Of these, 88 million are in South Asia. The IDF projects that by 2045, the number of people afflicted with this disease in India will climb to 134 million. Environmental and lifestyle changes resulting from industrialization and migration to urban centers have contributed significantly to India’s epidemic of Type 2 diabetes.

Patient with Mucormycosis (Wikimedia Commons)

Black fungus is a rare but devastating and highly lethal fungal infection if not immediately treated. The disease can fester and spread behind the orbits of the eyes, sinuses and reach the brain, causing the tissue to become necrotic, forming abscesses that need to be surgically resected. If left untreated, these patients can quickly develop metabolic derangements and altered mental activity. The tissue in the nose or palate can die and fall away, causing horrific disfigurement or loss of sight.

Though strong intravenous antifungal medications, such as Amphotericin B, are being used to treat the infection, surgical removal of rotted tissue is a critical measure. Lack of access to appropriate centers for such aggressive surgical procedures can prove fatal. Yet even these medications are facing acute shortages.

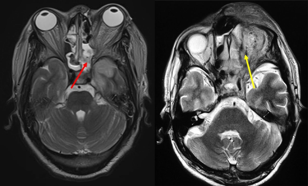
MRI of patients with sinus and orbital abscess with Mucormycosis

The fungal spores can also spread into the lungs and then migrate via the bloodstream to all the body’s organs. Most patients develop high fevers and cough up copious amounts of blood. Immunocompromised patients and, in particular, those with diabetes mellitus are at risk for this debilitating and life-threatening disease. Those with immunocompromised states who are being treated for malignancy or need chronic immunosuppression, those who are malnourished or have AIDS are at risk for this disease.

Ubiquitous in nature, the fungi can be found in the soil on decaying vegetation and feces. In hot climates under humid conditions, the fungi can proliferate and release large numbers of spores that can become lifted into the air currents. Humans are constantly exposed to them, but with an intact immune system, infections are relatively rare, on the order of just less than two per one million in the US. In India, the prevalence of the disease is 70 times higher than the rest of the globe, making it, nonetheless, still rare.

The site of the disease—eyes, nose and lungs—is partly because susceptible individuals inhale these spores, and they lodge in the sinuses and lung tissue. In healthy individuals, the cilia that line the tracts of these organs transport them to the gastrointestinal tracts where they are cleared. For those who develop the invasive fungal disease, the hallmark of the infection is the collapse of infected tissue as the fungi invade into the blood vessels leading to tissue damage and death. The term “black fungus” was coined to describe darkened skin lesions in Indian patients who developed this devastating infection after becoming infected with COVID-19.

Dr. Hemant Thacker, a consulting physician and cardiometabolic specialist at Breach Candy Hospital in Mumbai, explained, “One of the ways Mucormycosis travels is by invading the blood vessels. It compromises the circulation to the distal organ and thus produces what is called as necrosis or death of tissue, which then becomes black. So, it is then given the name black fungus.” He added, “If not controlled, not treated, it can have a mortality of anything from 20 to 50 percent.”

The rarity of the disease makes the present situation in India quite dire. In a 2005 publication in the Journal of Clinical Infectious Diseases, the authors conducted an exhaustive review dating back to 1885 and analyzed their findings among 929 eligible cases. Those with diabetes and malignancies fared worst. The disseminated form of the disease was uniformly fatal. Sinus and brain involvement impacted those with diabetes most. Survival was 3 percent in cases left untreated.

More than just a devastating disease, black fungus epitomizes the added insult to injury created by conditions inherently tied to the capitalist management of COVID-19. Not only was the pandemic foreseen, but it is also possible to eradicate it. The crisis in India is just one more drop in the ocean of misery created out of the insatiable need to turn a profit on the backs of the working class. In the present instance, it is literally eating away their flesh and blood.

No comments:

Post a Comment